症例
![]()
![]()
治療例の紹介
症例一覧
当院で行った治療例(施術例・症状等)を一部紹介しております。
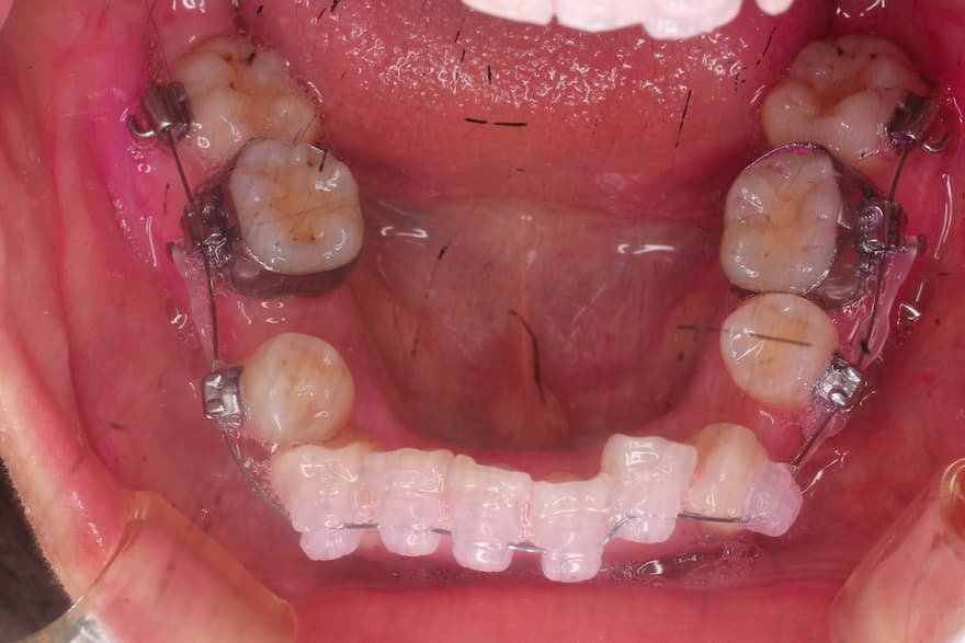
叢生の症例(歯を抜かないケース)
初診時
![]() |
||
![]() |
||
![]() |
![]()
拡大装置装着
![]() |
||
![]() |
||
![]()
ブラケット装着
![]() |
||
![]() |
||
![]() |
![]()
治療終了時(remove)
![]() |
||
![]() |
||
![]() |
叢生の症例(歯を抜くケース)
初診時
![]() |
![]() |
![]() |
![]()
ブラケット装着
![]() |
![]() |
![]() |
![]()
1ヶ月後
![]() |
![]() |
![]() |
![]()
1ヵ月後
![]() |
![]() |
![]() |
![]()
大分並んできて
![]() |
![]() |
![]() |
![]()
治療終了時
![]() |
![]() |
![]() |
上顎前突の症例
初診時 顔・口腔内
![]() |
![]() |
|
![]() |
![]() |
|
![]() |
![]()
顎の成長コントロール
![]() |
![]() |
![]() |
![]()
ブラケット装着
![]() |
||
![]() |
||
![]() |
![]()
ヘッドギア装着
![]() |
||
![]()
治療終了時 顔・口腔内
![]() |
![]() |
|
![]() |
![]() |
|
![]() |
反対咬合の症例
初診時
![]() |
![]() |
![]() |
![]()
チンキャップ装着
![]() |
||
![]()
リンガルアーチとスライディングプレート 装着
![]() |
||
![]() |
||
![]()
成長終了時
![]() |
![]() |
![]() |
![]()
ブラケット装着
![]() |
||
![]()
治療終了時
![]() |
![]() |
![]() |
上下顎前突の症例
初診時 口腔内・横顔
![]() |
![]() |
![]() |
![]() |
![]() |
|
![]() |
![]()
抜歯してブラケット装着
![]() |
||
![]() |
||
![]() |
![]()
パラタルアーチとヘッドギア を装着
![]() |
![]() |
|
![]()
治療終了時 口腔内・横顔
![]() |
![]() |
|
![]() |
![]() |
![]() |
![]() |
開咬の症例
初診時 口腔内
![]() |
![]() |
![]() |
![]()
チンキャップ装着
![]() |
||
![]()
ブラケット装着
![]() |
||
![]() |
![]() |
![]() |
![]() |
![]()
特殊なワイヤー(MEAW)をセットして・・・
![]() |
||
![]()
前歯が咬んだところ
![]() |
||
![]()
治療終了時
![]() |
![]() |
![]() |
過蓋咬合
埋伏歯の症例(左上犬歯の埋伏)
![]() |
||
![]()
![]() |
||
![]()
![]() |
||
![]()
![]() |
||
![]()
![]() |
||
![]()
![]() |
||
![]() |
埋伏歯の症例(左下犬歯の埋伏)
![]() |
||
![]() |
![]()
![]() |
||
![]()
![]() |
||
![]()
![]() |












































































































